طبيبك عندنا .. مرض تسوس الأسنان .. الأعراض والأسباب وطرق الوقاية
دكتور ريمون ثابت : تسوس الأسنان إحدى المشاكل الصحية الأكثر انتشارًا في العالم
غسل الأسنان واستعمال الخيط السني يوميا أهم طرق الوقاية من التسوس
حوار/ محمد الهادى
باب ‘ طبيبك عندنا ” من الأبواب الصحية المتميزه بجريدة وموقع ” وضوح الاخباري ” والذي يقدم كل ماهو جديد ومفيد خلال سلسلة من ا لحوارات والتحقيقات الصحفية والاخبار مع نخبة من أفضل الأطباء فى جميع التخصصات بهدف توضيح معلومات طبيه وصحية مفيده وتوصيات غاية فى الأهمية التى يستفيد بها قرائنا الاعزاء والمجتمع ككل .
سنلقى الضوء فى هذا الحوار الصحفى عن مرض تسوس الأسنان وماهى اعراضة وأسبابه وطرق الوقاية منه .
يحدثنا عن هذا المرض الشائع فى الآونة الأخيرة الدكتور ريمون ثابت اخصائي طب الفم والاسنان والتركيبات الصناعيه وعلاج الجذور بالقصر العينى .
* دكتور ريمون ماهو مرض تسوس الاسنان ؟
تعد صحة الفم والأسنان جزءًا لا يتجزأ من الصحة العامة، تتأثر بها وتؤثر فيها سلبًا أو إيجابًا.
ولأن نسبة الإصابة بأمراض الفم والأسنان في الدول النامية تنتشر بشكل كبير فقد استلزم ذلك تضافر الجهود، وبذل كل ما من شأنه خفض نسبة الإصابة بتلك الأمراض، خصوصًا تسوس الأسنان .
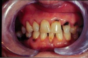
ومرض تسوس الأسنان هو عبارة عن ضرر يحدث للسطح الخارجي للسن (المينا) يؤدي لظهور تجاويف وثقوب؛ بسبب مجموعة من العوامل مثل البكتيريا وتناول والوجبات الخفيفة المتكررة والمشروبات السكرية.
ويشكل تسوس الأسنان إحدى المشاكل الصحية الأكثر انتشارًا في مختلف أنحاء العالم وفي جميع الفئات العمرية. وفي حال عدم معالجة تسوس الأسنان فإن التجاويف والثقوب قد تكبر وتتسع مما يسبب آلامًا شديدة، أو التهابات، أو حتى فقدان الأسنان ومضاعفات أخرى.
مراحل تسوس الاسنان
* دكتور ريمون ثابت حدثنا باستفاضه عن الأسباب التى تؤدى لمرض تسوس الاسنان ؟
تبدأ البكتيريا بمهاجمة الطبقة الأولى للأسنان وهي طبقة المينا:
تكوُّن طبقة البلّاك
الفم مثل أجزاء أخرى كثيرة من الجسم يحتوي على العديد من أنواع البكتيريا التي تتكاثرعلى المواد الغذائية والمشروبات التي تحتوي على أشكال معينة من السكر والكربوهيدرات القابلة للتخمر.عندما لا يتم تنظيف هذه السكريات من الأسنان تبدأ البكتيريا بسرعة بالتغذي عليها وإنتاج الأحماض (فبوجود البكتيريا وبقايا الأطعمة والأحماض واللعاب تتكون طبقة صلبة علي الأسنان تسمى البلّاك).
تأثير البلّاك على الأسنان
وجود البلّاك على الأسنان يؤدي لفقدان المعادن الموجودة في طبقة المينا وتآكلها، وبعدها يبدأ تكوّن الثقوب ومن ثم انتقال الأحماض والبكتيريا الي الطبقة الثانية من السن (العاج).
النخر الكامل للسن
عندما يصل الضرر من البكتيريا والأحماض الي الطبقة الثالثة من السن (اللب) التي تحتوي على الأوعية الدموية والأعصاب، وتبدأ بعدها الأعراض كالألم عند العض علي السن أو الحساسية من المأكولات الساخنة أو الباردة.. فيبدأ الجسم بمقاومة هذه البكتيريا بتكوين خلايا بيضاء مكونة الخُرّاج.
أعراض تسوس الاسنان
*دكتور ريمون ماهى الأعراض التى يسببها مرض تسوس الاسنان ؟
-يسبب تسوس الاسنان بعض الآلام منها آلام خفيفة إلى حادة عند تناول الحلويات أو المشروبات السكرية.
– حساسية الأسنان للأطعمة الساخنة أو الباردة.
– ألم عند العض.
– ثقوب أو حفر في الأسنان.
– صديد حول الأسنان، خصوصًا عند الضغط على اللثة.
أسباب تسوس الاسنان
*ماهى العوامل المؤدية للإصابة بتسوس الأسنان يادكتور ريمون ؟
الأسنان الخلفية (الأضراس) أكثر عرضة للتسوس بسبب تعرضها للأطعمة لفترة طويلة؛ فهذا يجعلها أكثر قابلية لتكون طبقة البلّاك مقارنة مع الأسنان الأمامية كالأنياب والقواطع. كما أن موضعها يجعل تنظيفها أصعب بالفرشاة ووسائل العناية الأخرى.
– الأطعمة المحتوية على السكر مثل الحلويات والعصائر السكرية.
– التناول المتكرر للطعام أو الوجبات الصغيرة، فهذا يعطي البكتيريا مصدرًا مستمرًّا من السكريات لتهضمها منتجة الأحماض.
– الرضاعة الليلية للأطفال: تتمثل في إرضاع الأم لطفلها قبل النوم وترك زجاجة الحليب في فمه أثناء نومه، وهذا يؤدي لحدوث تسوس للرضع.
-عدم العناية بالأسنان بشكل ملائم، ويتمثل ذلك بعدم تفريشها بشكل منتظم بعد الوجبات واستعمال الخيط الطبي.
– عدم استعمال الفلورايد؛ حيث إنه يقوم بوقاية الأسنان؛ لأنه يحارب أثر الأحماض، وذلك عبر تحفيز إعادة المعادن المفقودة إلى مينا السن.
– جفاف الفم: وهي حالة تتميز بانخفاض إفراز اللعاب، ويؤدي انخفاض إفرازه في الفم إلى زيادة أخطار الإصابة بتسوس الأسنان؛ لأن اللعاب يحتوي على أجسام مضادة تقاوم الأحماض والبكتيريا.
– الحشوات والتلبيسات السنية الرديئة يمكن أن تؤدي لتسوس الأسنان نتيجة لتراكم البكتيريا فيها.
– حرقة المعدة، إذ يؤدي الارتجاع المعوي المريئي لأحماض المعدة نحو الفم إلى تآكل المينا، وهذا يدمرها ويضعفها أمام هجوم البكتيريا الحمضي.
اضطرابات الأكل، مثل فقدان الشهية أو الشره المرضي، تزيد احتمالية التسوس؛ إذ يؤدي قيام المريض بالتقيؤ لتعريض الأسنان لأحماض المعدة مما يزيد أخطار التسوس.
مضاعفات تسوس الاسنان
*دكتور ريمون ماهى مضاعفات مرض تسوس الاسنان ؟
يوجد عدة مضاعفات لمرض تسوس الاسنان منها – صعوبة في المضغ.
– تكسر الأسنان.
– التهاب عصب الأسنان.
– الخراج.
– خلع السن.
– التهاب اللثة.
طرق الوقاية من تسوس الأسنان
* دكتور ريمون ماهى طرق الوقاية من تسوس الأسنان؟
-لابد من غسل أسنانك بعد كل وجبة أو مرتين على الأقل يوميًّا باستخدام معجون أسنان يحتوي على الفلورايد.
– استعمال الخيط السني لتنظيف أسنانك مرة واحدة على الأقل في اليوم.
-يجب بين الحين والآخر عمل زياره لطبيب الأسنان بشكل دوري للاطمئنان على حالة اسنانك بشكل عام .
-الابتعاد عن الأغذية المحتوية على السكر كالحلويات والعصائر المحلاة.
– تناول أغذية صحية، ويشمل ذلك الفواكه والخضار والأجبان؛ لأنها تحفز إفراز اللعاب الذي يحافظ على الأسنان من تأثير الأحماض.
-يجب أن تقلل تناول الوجبات الخفيفة؛ إذ إن ذلك يقلل الغذاء المتوفر للبكتيريا بالفم.
اذا كنت من الفئات الأكثر عرضة للتسوس فقد يوصي الطبيب باستخدام مضمضة الفلورايد .
علاج مرض تسوس الاسنان
* دكتور ريمون ماهى طرق العلاج لمرض تسوس الاسنان ؟
اولا : العلاج بالفلوريد:
وذلك للمحافظة علي المعادن الموجودة على المينا لتقوية الأسنان ضد التسوس.
ثانيا : الحشوات:
عندما تظهر ثقوب في الأسنان يعمل لها حشوات (حشوات مركبة أو حشوات تعويضية).
ثالثا : تلبيس السن(التاج- الطربوش ) :
يستخدم في حال تضرر السن أو كسره أو وجود شرخ في السن أو للتجميل.
رابعا : خلع الأسنان وهذا الحل الذي نلجأ له عندما يكون التسوس وصل لذروته واستحالة عمل اي حل مماسبق طرحه للاسنان فيجب اللجوء لخلعه فورا . حتى لا يؤثر على باقى الاسنان واللثه.
بهذا نكون قد استعرضنا مرض من الأمراض الشائعه بين الناس فى هذه الآونة والى اللقاء فى تناول موضوعات اخري هامه ومفيده .








